内网
|
EN
|
中国科学院
首页
简介
学术主任致辞
现任领导
脑智卓越中心简介
学术委员会
国际顾问委员会
客座教授
管理部门
大事记
地图
新闻
综合新闻
学术交流
科研进展
图片新闻
视频新闻
科学传播
研究成果
代表性论文
近期论文
研究单元
重点实验室
脑认知与类脑智能全国重点实验室
中国-匈牙利脑科学 “一带一路” 联合实验室
研究生
机构简介
招生工作
在学培养
学位管理
奖助保障
毕业与就业
科教融合
留学生
学生活动
校友会
心理咨询
公共平台
公共技术中心
实验动物平台
研究平台
脑科学数据与计算中心
学术活动
学术报告
研讨会
IBRO SCHOOL
青年学者论坛
2024 Colloquium Speakers
张香桐脑科学研讨会
党建文化
工作动态
党风廉政建设
群团风采
科普动态
专题
信息公开
信息公开制度和年度报告
研究所基本情况
发展规划
科研信息
科学普及
人事信息
国际合作
研究生招生与培养
科研诚信道德建设
设备采购
工会采购
基本建设与维修
安全规范
预决算公开
出版物
内网
|
EN
|
中国科学院
首页
简介
学术主任致辞
现任领导
脑智卓越中心简介
学术委员会
国际顾问委员会
客座教授
管理部门
大事记
地图
新闻
综合新闻
学术交流
科研进展
图片新闻
视频新闻
科学传播
研究成果
代表性论文
近期论文
研究单元
重点实验室
实验室简介
研究方向
委员会
人才队伍
研究成果
获奖情况
开放课题申请指南
脑智卓越青年科学基金
留所优秀毕业生启动基金
青年神经科学工作者论坛
研究生
机构简介
招生工作
在学培养
学位管理
奖助保障
毕业与就业
科教融合
留学生
学生活动
校友会
心理咨询
下载专区
公共平台
公众技术服务中心
实验动物平台
实验鼠房
实验猴房
灵长类研究平台(苏州)
灵长类研究平台(九亭)
斑马鱼平台
非人灵长类解剖学研究平台
研究平台
非人灵长类脑图谱研究平台
非人灵长类认知行为分析平台
全脑介观神经联接图谱绘制平台
动态脑电信息分析平台
学术活动
学术报告
研讨会
IBRO SCHOOL
青年学者论坛
2024 Colloquium Speakers
张香桐脑科学研讨会
党建文化
工作动态
党风廉政建设
群团风采
科普动态
专题
组织建设
通知公告
工青妇
重要文件
心灵驿站
优秀党员
科技报国
首页轮播
支部建在实验室
信息公开
信息公开制度和年度报告
研究所基本情况
发展规划
科研信息
科学普及
人事信息
国际合作
研究生招生与培养
科研诚信道德建设
设备采购
工会采购
基本建设与维修
安全规范
预决算公开
出版物
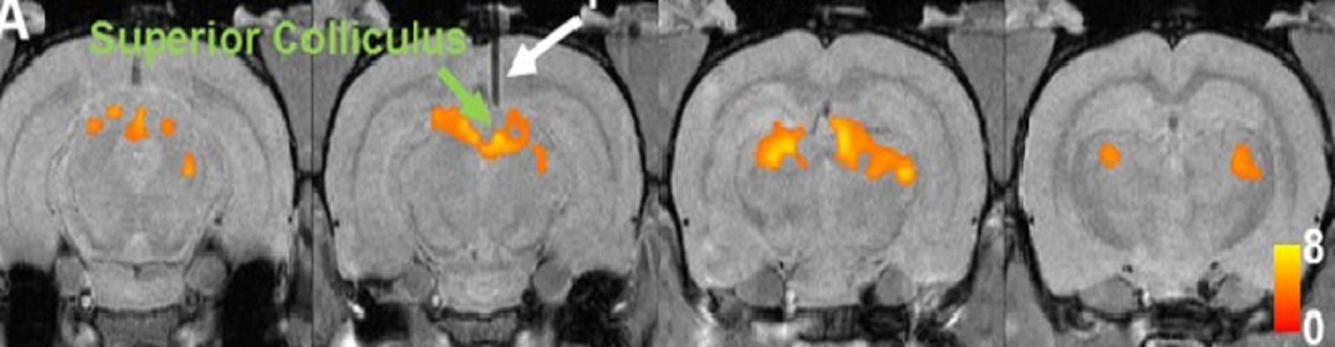
梁智锋组发表基底前脑细胞特异性光遗传学fMRI揭示行为偏好的功能网络基础的研究
梁智锋组发表基于同时电生理fMRI的小鼠睡眠的全脑时空动态性研究
梁智锋组发表关于狨猴脑功能网络梯度及其动态性的研究成果
中科院脑智卓越中心揭示下丘脑冷感受神经元调控体温稳态的环路机制
比较神经成像研究组
研究方向
人员
论文
图片
招聘信息
新闻
联系我们
新闻
梁智锋组发表基底前脑细胞特异性光遗传学fMRI揭示行为偏好的功能网络基础的研究
梁智锋组发表基于同时电生理fMRI的小鼠睡眠的全脑时空动态性研究
梁智锋组发表关于狨猴脑功能网络梯度及其动态性的研究成果
中科院脑智卓越中心揭示下丘脑冷感受神经元调控体温稳态的环路机制
与磁共振高度兼容的电极促进解析深部脑刺激治疗机理
Differential coupling between subcortical calcium and BOLD signals during evoked and resting state through simultaneous calcium fiber photometry and fMRI
脑影像图1
梁智锋组
梁智锋组
梁智锋组
梁智锋组
梁智锋组